Histopathology Cases
|
||
|
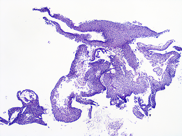
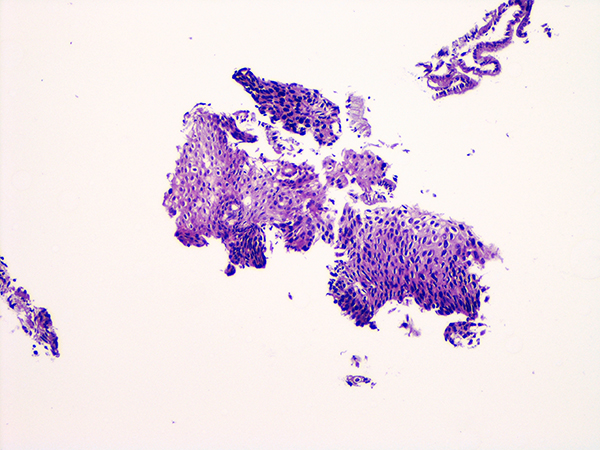
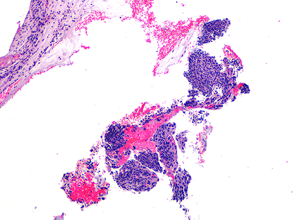
Case 1
Soft Bx CIN 2 10x - Low Power
|
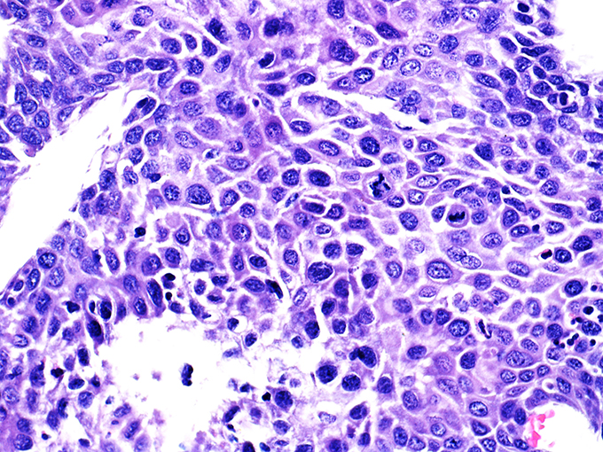
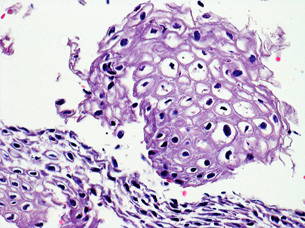
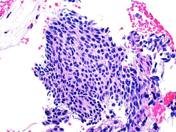
![]() Case 1
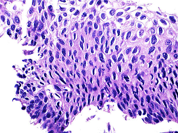
Area 1 - Soft Bx CIN 2 40x - High Power |
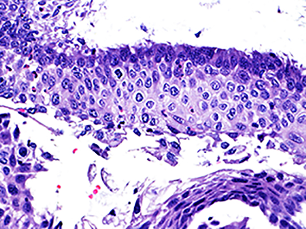
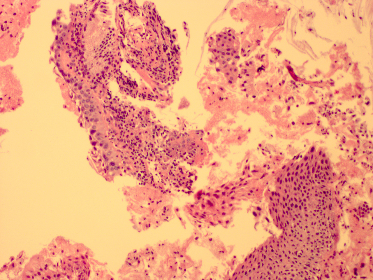
![]() Case 1
Area 2 - Soft Bx CIN 2 40x - High Power |
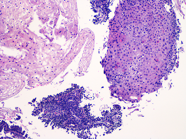
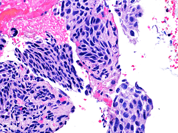
![]() Case 2
Soft Bx CIN 2 10x - Low Power |
![]() Case 2
Soft Bx CIN 2
40x - High Power
|
|
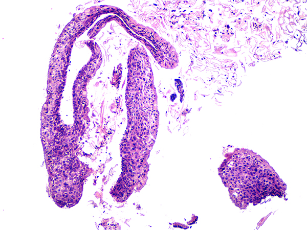
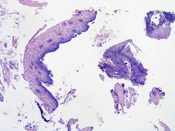
Case 3
Soft Bx CIN 2-3 10x - Low Power
|
![]() Case 3
Soft Bx CIN 3
10x - Low Power |
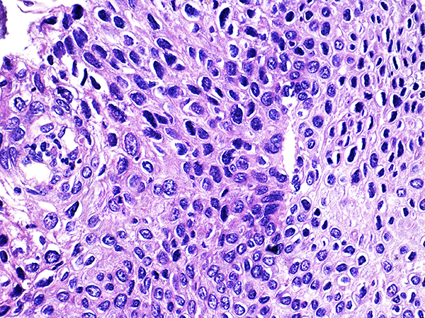
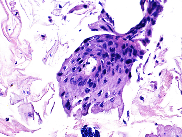
![]() Case 3
Soft Bx CIN 3
40x - High Power |
![]() Case 4
Soft Bx CIN 3
10x - Low Power |
Case 4
Soft Bx CIN 3
40x - High Power |
|
![]() Case 5
Soft Bx CIN 1
10x - Low Power |
![]() Case 5
Soft Bx CIN 1
40x - High Power |
|
![]() Case 6
Soft ECC CIN 1
40x - High Power |
Case 7
Soft ECC CIN 2
40x - High Power |
![]() Case 8
Soft ECC CIN 2-3
10x - Low Power |
![]() Case 9
Soft ECC CIN 3
40x - High Power |
||
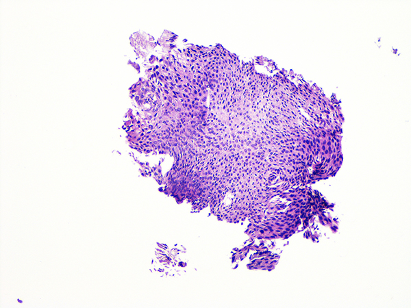
![]() HGSIL Soft Bx
Low Power |
HGSIL Soft ECC Low Power |
|














